ВПЕРШЕ НА ЧЕРКАЩИНІ ПРОВЕДЕНА ОПЕРАЦІЯ НА ЧЕРЕВНІЙ АОРТІ БЕЗ РОЗРІЗІВ
ВПЕРШЕ НА ЧЕРКАЩИНІ ПРОВЕДЕНА ОПЕРАЦІЯ НА ЧЕРЕВНІЙ АОРТІ БЕЗ РОЗРІЗІВ
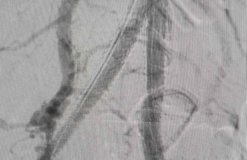
На базі відділення інтервенційної радіології КНП «Черкаська обласна лікарня Черкаської обласної ради» в.о. завідувачем відділення інтервенційної радіології Дмитром Паляничко разом з колегою Святославом Денисовим завідувачем відділення ендоваскулярної хірургії Клінічної лікарні «Феофанія» успішно проведена унікальна чотирьох годинна ендоваскулярна малоінвазивна операція з приводу тромбозу біфуркації аорти.
До Черкаської обласної лікарні поступив пацієнт з діагнозом: тромбоз загальної клубової артерії зліва. Хвороба небезпечна та потребувала оперативного втручання, інакше – пацієнт з високою ймовірністю міг втратити нижню кінцівку. Лікарі розглянули дві альтернативи – ендоваскулярна малоінвазивна операція або відкрита операція. Перевага була надана першому варіанту, оскільки відкрита операція потребувала б великих розрізів, крововтрат, значного травмування тканин та тривалого післяопераційного відновлення.
Під час операції був використаний пристрій Ratarex (Швейцарія), видалені тромботичні маси та проведено біфукарційне стентування. Крововтрата операції становила до 50 мл. А головне, збережена нижня кінцівка, і пацієнт уникнув інвалідизації. Вже через добу після операції він почав самостійно ходити та наразі почуває себе добре.
Пишаємося нашими колегами, які постійно вдосконалюються, зростають професійно, що дає високі шанси та надію на одужання пацієнтів!